.png)
EIN BEFESTIGUNGSKOMPOSIT FÜR ALLE RESTAURATIONEN IM SEITENZAHNBEREICH

Indirekte Restauration, eingegliedert mit RelyX Universal Befestigungskomposit.
Die Herausforderung
Restaurationen im Seitenzahnbereich stellen eine Herausforderung dar: Es stehen zahlreiche verschiedene Materialien zur Verfügung – sowohl in der Füllungstherapie als auch der Prothetik. In diesem klinischen Fallbeispiel stellte sich eine junge Patientin mit einer abgelösten Krone an Zahn 25 sowie zwei erneuerungsbedürftigen Versorgungen an den Zähnen 24 und 26 vor. In einem solchen Fall, in dem mehrere Zähne zu versorgen sind, sollte ein prothetischer Behandlungsansatz zumindest in Erwägung gezogen werden. Im vorgestellten Fall wurden adhäsive Teilrestaurationen aus Lithiumdisilikat sowie eine monolithische Krone aus Zirkoniumoxid. Trotz der verschiedenen Materialien und Indikationen erfolgte die Eingliederung mit nur einem Befestigungskomposit.
Die Vorgehensweise

Ausgangssituation und Trockenlegung mit Kofferdam.

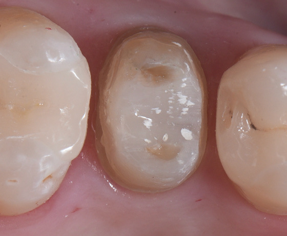
Situation nach Entfernung des Amalgams am ersten Molaren sowie des Komposits am ersten Prämolaren und Reinigung der Kavitäten.

CAD/CAM-gefertigte Teilrestaurationen aus Lithiumdisilikat auf einem 3D-gedruckten Modell.

Vorbehandlung mit Flusssäure, Spülen mit Wasser, Applikation von 3M™ Scotchbond™ Universal Plus Adhäsiv und 3M™ RelyX™ Universal Befestigungskomposit.

Adhäsiv eingegliederte Teilrestaurationen.

Präparation mit optimal ausgearbeiteter Präparationsgrenze an Zahn 25.

Monolithische Krone aus Zirkoniumoxid in zwei unterschiedlichen Ansichten.

Vorbehandlung: Sandstrahlen der Klebefläche mit 30 µm Al2O3, Reinigung mit Ethanol und Applikation von 3M™ RelyX™ Universal Befestigungskomposit.

Behandlungsergebnis nach der definitive Eingliederung.
Informationen zum Autor Dr. Carlo Arcara
Dr. Carlo Arcara schloss 2010 sein Studium der Zahnmedizin an der Universität Mailand Bicocca ab und promovierte 2014 in experimenteller Parodontologie. Er besuchte verschiedene Weiterbildungskurse rund um Zahnersatz, Implantologie, Implantatchirurgie und Parodontologie. Zudem besuchte er Fortbildungen zum Thema Digital Smile Design. Seit 2013 ist er Tutor des Jahreskurses für Prothetik von Dr. Dario Castellani. Er arbeitet in seiner eigenen privaten Zahnarztpraxis in Sizilien, Italien.
In seiner Freizeit treibt er gerne Sport, baut Cafe Racer-Motorräder und verbringt Zeit mit Familie und Freunden.
BIST DU NEUGIERIG GEWORDEN?
Hier findest Du weitere Produkte und Angebote zum Thema Restauration für die
Zahnmedizin und Kieferorthopädie.

3M RelyX™ Universal Befestigungskomposit
RelyX™ Universal Befestigungskomosit kann alleine als selbstadhäsiver Befestigungszement und in Kombination mit 3M™ Scotchbond™Universal Plus Adhäsiv für die adhäsive Befestigung eingesetzt werden.

3M Scotchbond Universal Plus
3M Scotchbond™ Universal Plus Adhäsiv ist für alle direkten und indirekten Indikationen und alle Ätztechniken geeignet. Es haftet an allen Restaurationsmaterialien ohne zusätzlichen Primer.

3M™ Filtek™ Easy Match Universal Komposit, Kapseln
Das 3M Filtek Easy Match Universal Komposit ist ein modernes Füllungsmaterial, das auf über 50 Jahren Forschung basiert. Es bietet eine natürliche Opazität und ermöglicht eine einfache, intuitive Farbauswahl mit nur drei Farben, die in den meisten Fällen eine hervorragende Anpassung an die natürliche Zahnfarbe erlaubt und den Behandlungsablauf vereinfacht.

