.png)
In diesem zahnmedizinischen Fachartikel erklären wir, wie du das Risiko der Blasenbildung bei fließfähigen Kompositen vermeiden kannst.
Wir lieben fließfähige Komposite wegen ihrer einfachen Anwendung und der aufgrund ihrer geringen Viskosität ausgezeichneten Benetzung des Zahns. Wir werden jedoch durch die ständige Gefahr von Blasen gequält, die sich so oft bilden, wenn wir das Material applizieren.
Lassen Sie uns kurz die derzeitige Rolle von fließfähigen Kompositen betrachten
Als 3M 1964 die ersten Komposit-Füllungsmaterialien einführte, galten sie als „Amalgamersatz“. Mit anderen Worten: Wir dachten, wir müssten sie in Inkrementen einbringen und sie wie Amalgam stopfen, kondensieren, schnitzen und ausarbeiten.
Als 1996 dann die ersten fließfähigen Komposite auf den Markt kamen,1 war sich niemand so recht sicher, was mit ihnen anzufangen war. Allerdings erkannten wir klar die generellen Vorteile eines injizierbaren Materials, das die Zahnhartsubstanz sofort benetzt. Im Laufe der Zeit haben wir gelernt, dass das Problempotenzial steigt, je stärker wir Komposite verarbeiten. Heute geht der Trend dahin, Komposit-Füllungsmaterialien zu injizieren und dabei kaum bis gar nicht zu manipulieren. Ideal für die Injektionstechnik geeignet ist fließfähiges Komposit.
Das Problem mit den Blasen ...
Die häufigste Beschwerde, die Zahnärzte in Bezug auf fließfähige Komposite äußern, hängt mit der Bildung von Luftblasen bei der Applikation des Materials zusammen. Diese Blasen im fließfähigen Material lassen sich kaum beseitigen. Aufgrund der Viskosität des Komposits fällt es schwer, sie zum Platzen zu bringen. Häufig geben wir diesen Versuch auf und bemühen uns stattdessen, sie aus der Kavität herauszuziehen.
.png)
Zwei verschiedene fließfähige Materialien wurden auf dentoforme Zähne appliziert. Beide Proben enthalten mehrere Blasen. Die Blasen im helleren Farbton (rechts) sind schwieriger zu erkennen.
Zwei problematische Situationen, die aus zunächst unentdeckten Luftblasen resultieren…
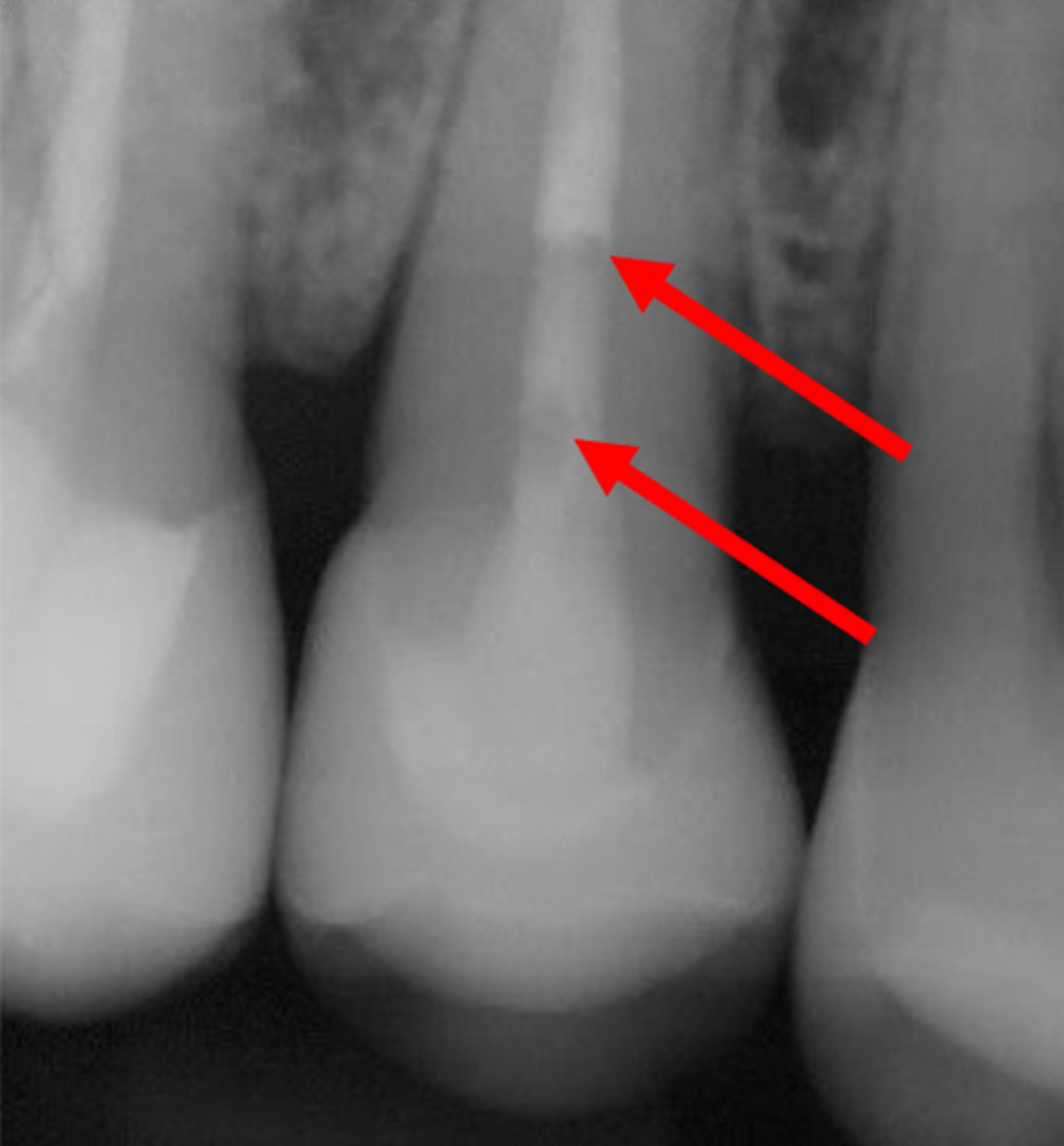
1. Auf Röntgenbildern sichtbare Blasen
.png)
Auf der Röntgenaufnahme dieses endodontisch behandelten Zahnes sind zwei Blasen zu sehen. Das ist peinlich und den Patienten schwer zu erklären. Diese Blasen machen Endodontologen verrückt.
2. Durch Blasen verursachte Flecken auf der Restauration
Wenn eine Blase eine Vertiefung auf der Oberfläche eines Komposits hinterlässt, können Schönheitsfehler mit peinlichen Verfärbungen entstehen.
.png)
.png)
Eine kleine Blase im Komposit weist eine erhebliche Verfärbung auf, über die sich der Patient beschwert hat und die der Grund dafür war, dass er den Zahnarzt gewechselt hat.
Diese Blase in einer Fissurenversiegelung (Kavität der Klasse I) ist ein allzu häufiger Anblick).
Fazit
Fließfähige Komposite haben eine Menge liebenswerter Eigenschaften. Für die meisten restaurativ tätigen Zahnärzte sind sie zu einem festen Bestandteil ihrer modernen Behandlungen geworden. Während fließfähige Materialien und moderne Techniken stetig weiterentwickelt werden, sehe ich auch in neuen Applikationssystemen ein großes Potenzial. Ich habe das neue Spritzen-Design von 3M für ihre fließfähigen Komposite getestet. Die innovativen Spritzen haben das Potenzial, bei der Applikation entstehende Blasen zu reduzieren und Zahnärzten eine bessere Kontrolle bei der Applikation zu ermöglichen.
Über den Autor Dr. David Clark, DDS
Insgesamt 25 Jahre mikroskopgestützte Zahnheilkunde in einer Praxis in seiner Heimatstadt, Laborforschung und Hunderte von Vorträgen und praktischen Kursen brachten ihn dazu, Matrizensysteme und Methoden zu entwickeln, die nicht nur die restaurative Zahnheilkunde selbst, sondern auch unsere Sichtweise auf diese grundlegend verändern.
BIST DU NEUGIERIG GEWORDEN?
Hier findest Du weitere Produkte und Angebote zum Thema Komposite für die
Zahnmedizin und Kieferorthopädie.

3M Filtek™ Supreme Flowable, Spritzen
• Ausgezeichnete Anpassung, Polierbarkeit und Verschleißfestigkeit
• Mit ECHTER Nanotechnologie von 3M
• Klasse-III- und Klasse-V-Restaurationen von bis zu 2 mm
• Basis/Liner unter direkten Restaurationen

3M Filtek™ Bulk Fill Flowable, Spritzen
• Ausgezeichnete Adaption, geringe Schrumpfung
• Ideal geeignet zum Auskleiden von Kavitäten unter Bulk Fill-Restaurationen, als Versiegelungsmaterial und mehr
• Klasse-III- und Klasse-V-Restaurationen von bis zu 4 mm
• Unterfüllung/Liner unter direkten Restaurationen
.

3M Filtek™ Bulk Fill Flowable, Kapseln
• Base (Unterfüllung) unter Klasse I und II direkten Restaurationen
• Reparatur provisorischer Materialien auf Kunstharz- und Akrylatbasis
• Stumpfaufbaumaterial, wenn zumindest die Hälfte der Substanz der Zahnkrone vorhanden ist
• Base/Liner unter direkten Restaurationen

