.png)
Den Chamäleon-Effekt in der Zahnheilkunde entschlüsseln
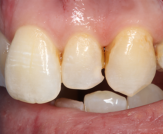
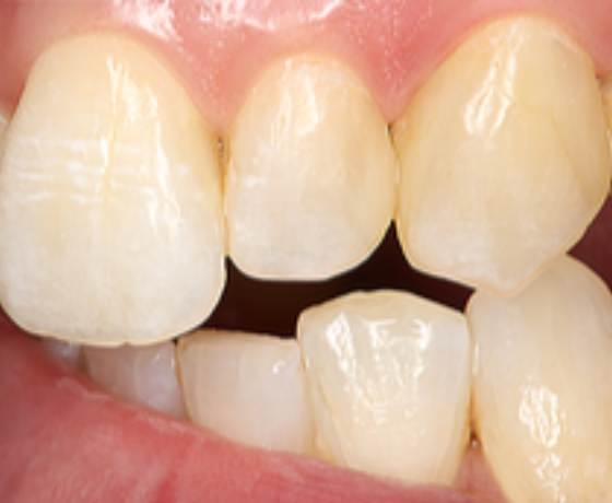
In der Zahnheilkunde wird mit dem Begriff Chamäleon-Effekt der Versuch beschrieben, die natürliche Farbe von Zähnen präzise nachzuahmen. Idealerweise lässt sich dieser Effekt mit möglichst wenigen Komposit-Massen erzielen. Das erleichtert den Arbeitsalltag erheblich. Im folgenden Fallbeispiel verwendete ich 3M™ Filtek™ Easy Match Universal Komposit in einem einzigen Farbton in Kombination mit 3M™ Scotchbond™ Universal Adhäsiv um mehrere Klasse III-Kavitäten unterschiedlicher Größe zu restaurieren. Das Ergebnis ist erstaunlich: Das Material stimmt farblich hervorragend mit der Zahnhartsubstanz überein und fügt sich selbst im Durchlicht harmonisch in das Gesamtbild ein. Ich war selbst begeistert von den Ergebnissen sowie der Einfachheit der Farbauswahl.
Ausgangssituation



Behandlungsergebnis



Informationen zum Autor Dr. Adam Hodges
Dr. Adam Hodges ist ein Absolvent des Medical College of Georgia aus dem Jahr 2000. Er absolvierte seine Fachzahnarztausbildung am Palmetto Richland Memorial Hospital mit Schwerpunkt auf chirurgischer und kosmetischer Zahnmedizin. Seit 20 Jahren betreibt er zusammen mit seinem Bruder die Praxis Hodges and Hodges Comprehensive Dental Medicine in Asheville, NC, an der früher auch sein Vater beteiligt war. Er schloss erfolgreich Weiterbildungen am Pankey Institute, Spear Center und LSU Cosmetic Continuum ab.
BIST DU NEUGIERIG GEWORDEN?
Hier findest Du weitere Produkte und Angebote zum Thema Komposite und Restauration für die
Zahnmedizin und Kieferorthopädie.

Filtek™ Easy Match Universal Restorative
Bietet eine intuitive Farbauswahl zur Vereinfachung von Workflows in der Füllungstherapie, ohne Kompromisse in Sachen Opazität. Auf drei Farben basierendes System. Entwickelt, um in den meisten Fällen einfach und intuitiv eine exzellente farbliche Übereinstimmung mit der natürlichen Zahnfarbe zu erzielen.

3M Scotchbond Universal Plus
3M Scotchbond™ Universal Plus Adhäsiv ist für alle direkten und indirekten Indikationen und alle Ätztechniken geeignet. Es haftet an allen Restaurationsmaterialien ohne zusätzlichen Primer.

3M™ Filtek™ Easy Match Universal Komposit, Kapseln
Das 3M Filtek Easy Match Universal Komposit ist ein modernes Füllungsmaterial, das auf über 50 Jahren Forschung basiert. Es bietet eine natürliche Opazität und ermöglicht eine einfache, intuitive Farbauswahl mit nur drei Farben, die in den meisten Fällen eine hervorragende Anpassung an die natürliche Zahnfarbe erlaubt und den Behandlungsablauf vereinfacht.

