.png)
Ein schöneres Lächeln durch die Zahnrestauration mit Komposit

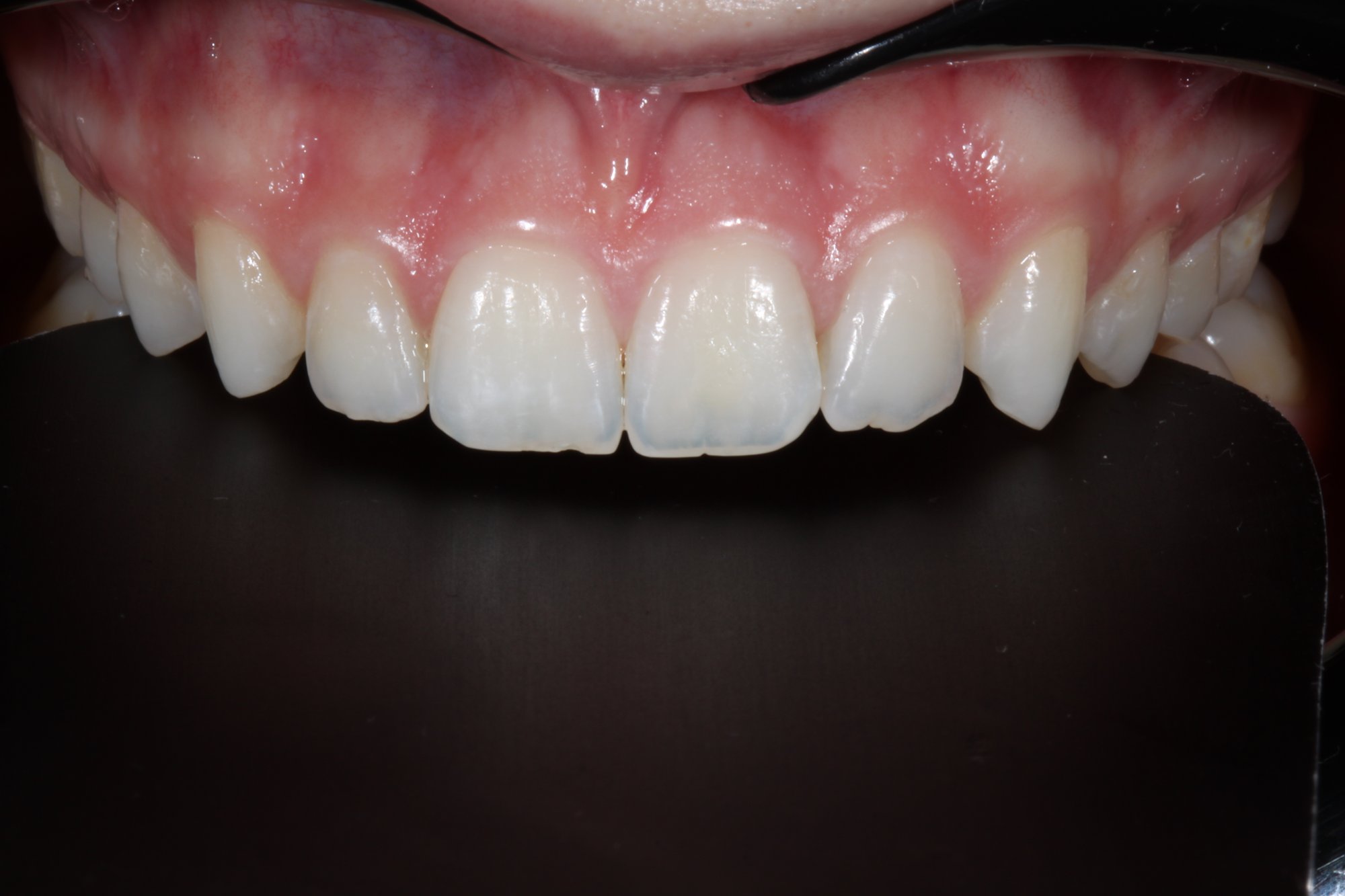
Die Ausgangssituation
Die 21-jährige Patientin von Dr. Maria Cura hatte folgendes Anliegen: „Ich hätte gern ein schöneres Lächeln. Meine seitlichen Schneidezähne sehen ausgefranst aus, der Eckzahn ist zu schnabelförmig". In diesem Artikel werfen wir einen Blick auf das Vorgehen von Dr. Maria Cura und das Behandlungsergebnis ihrer Patientin. Im Fokus dabei steht die Restauration mehrerer Zähne mit Filtek Easy Match.
Vorgehen
Kleine Restaurationen im Bereich der Inzisalkante sind extrem herausfordernd. Da der verfügbare Platz sehr begrenzt ist, gestaltet sich der Einsatz verschiedener Opazitäten schwierig. Im Sinne der Vereinfachung erscheint die Verwendung einer Einfarb-Technik ideal. Jedoch sind zwingend gute ästhetische Ergebnisse zu erzielen. Eine 21-jährige Patientin bei guter Gesundheit stellte sich vor, weil sie mit ihrem Lächeln unzufrieden war. Die Opazität von 3M™ Filtek™ Easy Match passt sich der natürlichen Umgebung an und ist genau dort, wo ich es benötige, so transluzent wie Schmelz und so opak wie Dentin.

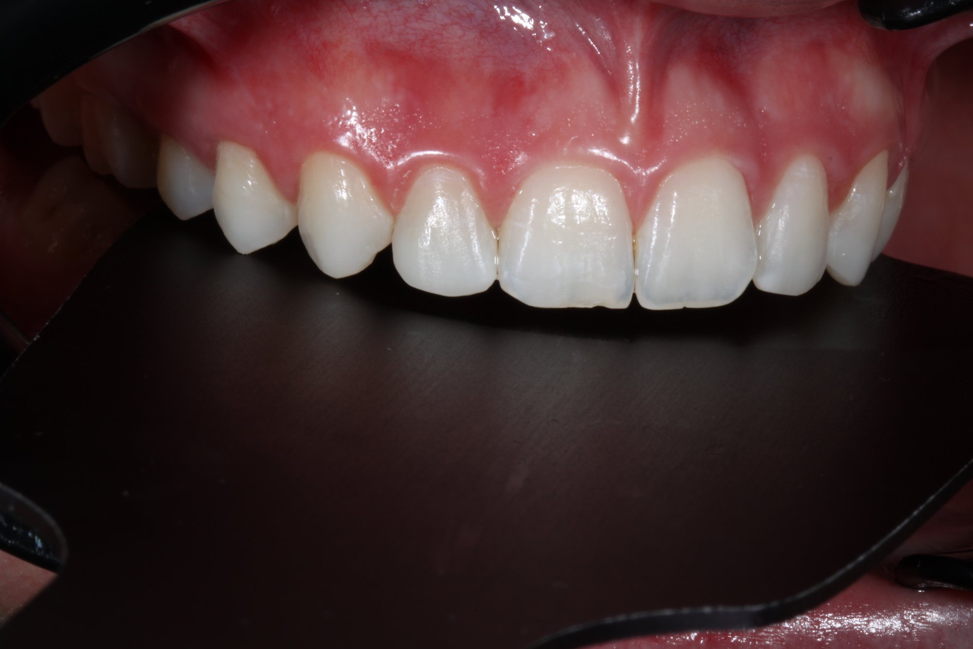
Anatomie der Frontzähne.

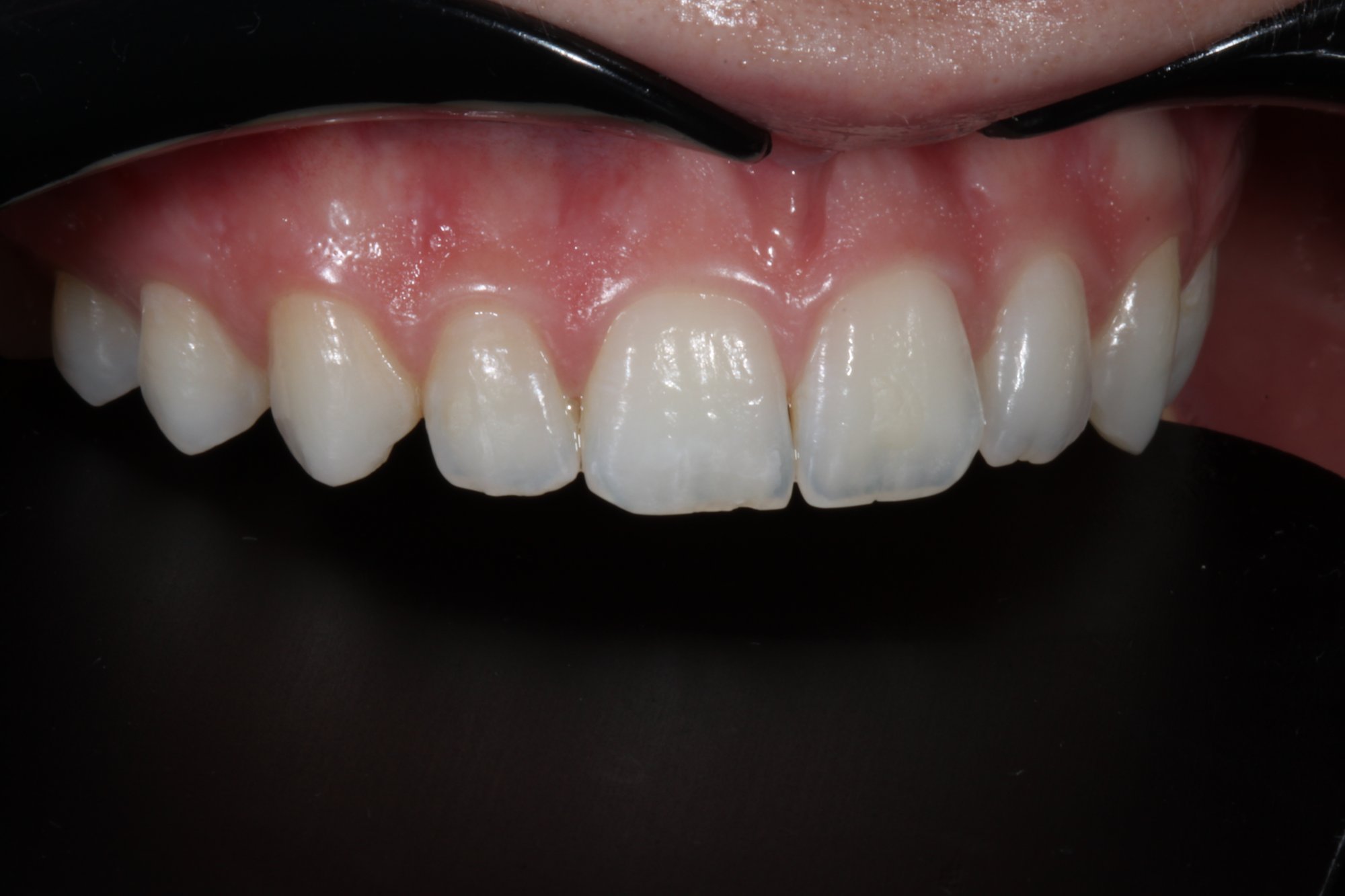
Anatomie des Zahnes 12.

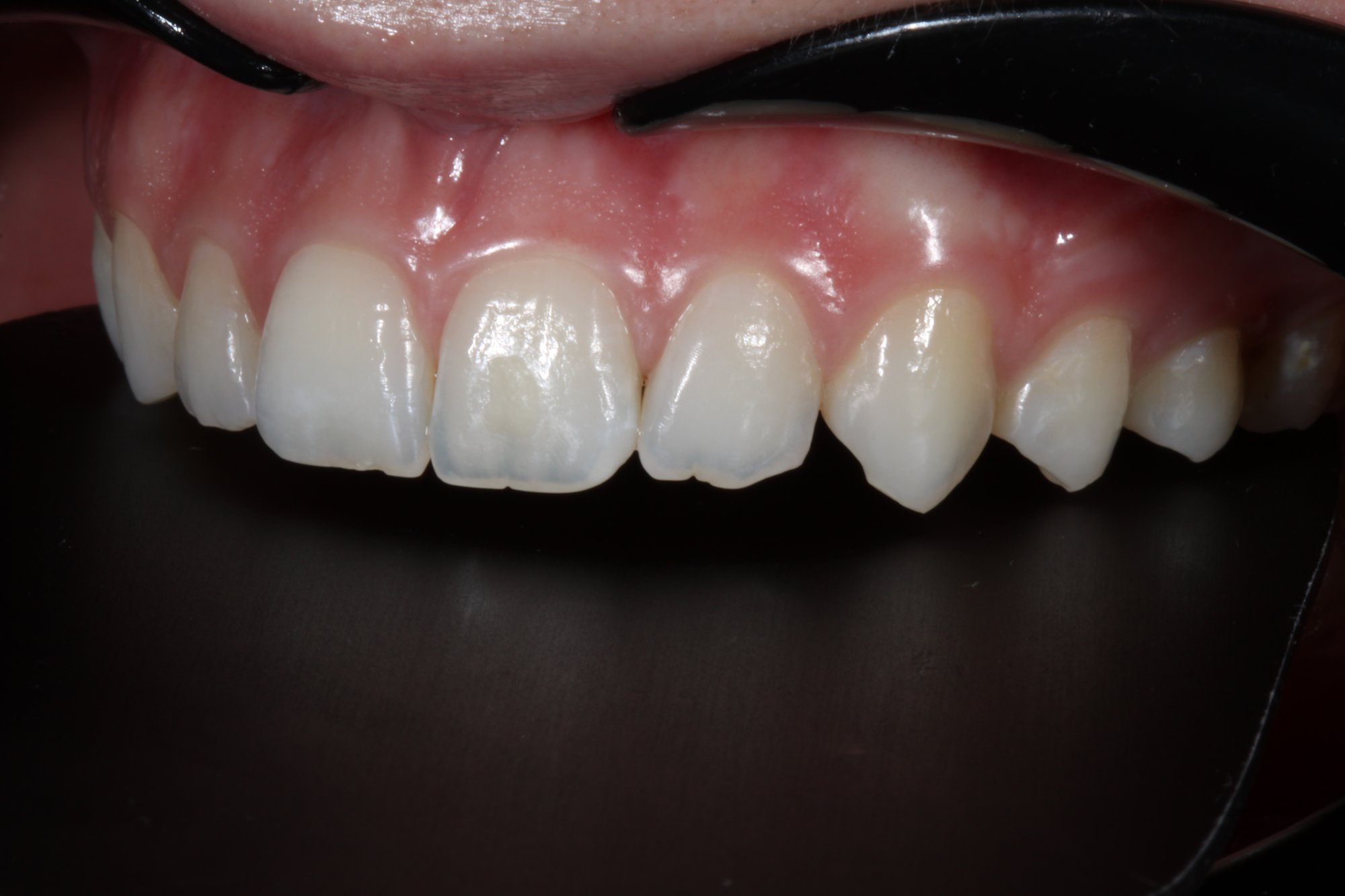
Anatomie der Zähne 22 und 23.
Farbbestimmung
Mithilfe einer gewöhnlichen Aufnahme und einer Aufnahme mit Polfilter zeigt sich: Bright fügt sich dank des höheren Farbwertes besser in die Umgebung ein.


Beginn der Behandlung

Isolierung mit Kofferdam.

Biofilmentfernung. Entfernung des Biofilms mit Bimssteinpaste und einer Prophylaxebürste.

Ätzen mit Phosphorsäure-Gel. Auf Schmelzoberfläche 15 Sekunden einwirken lassen.
Weitere Schritte der Behandlung

Anwendung von 3M™ Scotchbond™ Universal Plus Adhäsiv. Auf der Oberfläche 20 Sekunden einreiben, mit Luft verblasen bis zur vollständigen Evaporation des Lösungsmittels und final 10 Sekunden lichthärten.

Applikation von 3M™ Filtek™ Easy Match, Farbton Bright.

Anatomische Modellation des Zahns 12 mit einem Spatel.
Finale Behandlungsschritte

Mit einem Pinsel lässt sich die Form gut optimieren und das Komposit am Übergang zum Zahn dünn ausstreichen.

Ausgearbeitete Restaurationen vor der Politur.

Applikation von Glyceringel vor Lichthärtung; so wird die Bildung einer Sauerstoffinhibitionsschicht verhindert.
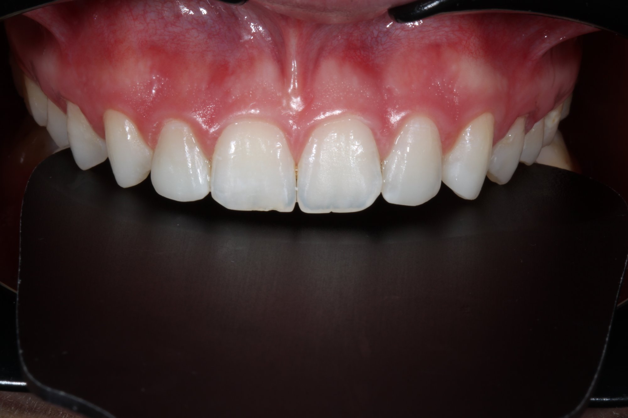
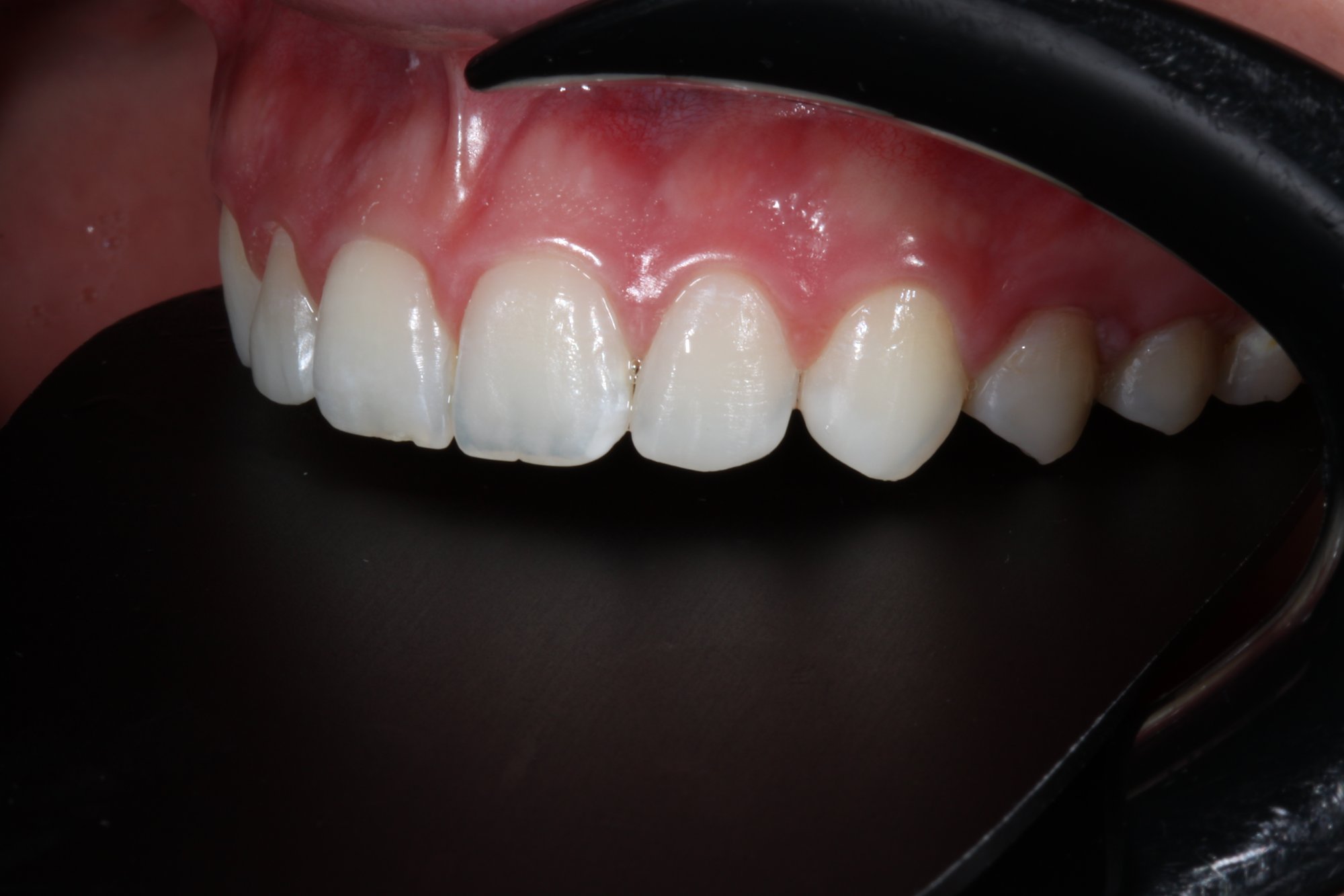
Behandlungsergebnis

Ergebnis nach Ausarbeitung und Politur mit 3M™ Sof-Lex™ Scheiben und Rädern.

Definitive Restaurationen: Ansicht von lateral.

Definitive Restaurationen: Ansicht von lateral.
Über Dr. Maria Cura
Maria Cura studierte Zahnmedizin an der Universidad Rey Juan Carlos (URJC) in Madrid, Spanien, wo sie die Abschlüsse DDS und PhD mit internationaler Anerkennung erhielt. Sie ist Spezialistin für ästhetische restaurative Zahnheilkunde an derselben Universität und hat zudem ein postgraduales Studium in Prothetik abgeschlossen (SCOE). Aktuell ist sie als Hochschullehrerin in Teilzeit an der Universidad Rey Juan Carlos tätig. Dr. Cura ist Autorin mehrerer Forschungsartikel in internationalen Fachzeitschriften mit Impact-Index. Sie leitet regelmäßig Weiterbildungen im Bereich ästhetische Zahnheilkunde und hat mehrere Auszeichnungen für ihre Forschung und klinische Tätigkeit erhalten. Sie betreibt zudem eine Praxis für ästhetische restaurative Zahnheilkunde in Madrid (Spanien).
Autor: Dr. Maria Cura.
BIST DU NEUGIERIG GEWORDEN?
Hier findest Du weitere Produkte und Angebote zum Thema Komposite und Restauration für die
Zahnmedizin und Kieferorthopädie.

3M™ Filtek™ Easy Match Universal Komposit
Das 3M Filtek Easy Match Universal Komposit vereinfacht dank seiner natürlichen Opazität und nur drei Farbvarianten die Farbauswahl in der Füllungstherapie und sorgt dabei für eine hervorragende Anpassung an die natürliche Zahnfarbe.

3M Scotchbond Universal Plus Adhäsiv
Das 3M Scotchbond Universal Plus Adhäsiv ist ein vielseitiges, BPA-freies Haftmittel für alle Indikationen und Ätztechniken. Es bietet starke Haftung, dentinähnliche Röntgenopazität und haftet an allen Restaurationsmaterialien ohne Primer oder Dualhärtungsaktivator.

3M Sof-Lex™ Vorpolier- und Diamantier- räder
Das Polierräderset ist ein wiederverwendbares 2-Stufen-System zur Glättung und Hochglanzpolitur. Das beige Vorpolierrad glättet Oberflächen, das pinke Diamantpolierrad sorgt für den Endglanz. Es eignet sich für Composite-Restaurationen, kunststoffmodifizierte Glasionomere, temporäre Materialien, CAD/CAM-Restaurationen sowie Edel- und Halbmetalle.

